What's the Diagnosis? By Dr. Katie Selman
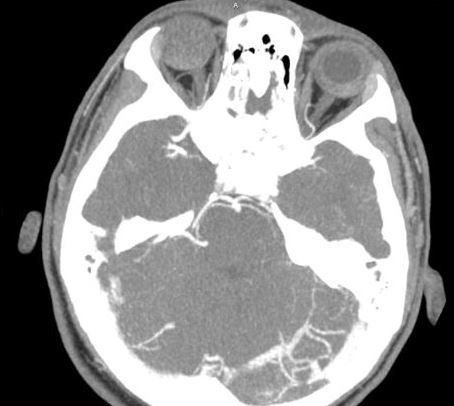
A 15 yo M presents to the ED with headache x 3 days. He reports associated nausea, vomiting x 3. He denies past medical history and has never had a similar headache. His sister does have a history of protein S deficiency. On exam, he is uncomfortable appearing and does have photophobia. He has no neurologic deficits. A CT head without contrast is normal. A CT venogram is performed and shown below. What's the diagnosis? (scroll down for answer)
Answer: Left transverse sinus thrombosis
Central Venous Thrombosis
- Presents with diffuse headache that may be sudden in onset or progressive
- Impaired venous drainage --> increased ICP
- Venous occlusion --> ischemia, infarction, hemorrhage --> focal neurologic deficits or seizure
- Associated with hypercoagulable states
- Recent surgery, estrogen use, factor V Leiden, pregnancy/postpartum, and hypercoagulability diseases such as protein S deficiency
- Diagnosis
- Elevated opening pressure on LP
- CTV or MRV (definitive)
- Treatment
- Anticoagulation
- Thrombolysis or thrombectomy may be considered
References:
Harrigan M, Felix AG. Headache. In: Tintinalli JE, Stapczynski J, Ma O, Yealy DM, Meckler GD, Cline DM. eds.Tintinalli’s Emergency Medicine: A Comprehensive Study Guide, 8eNew York, NY: McGraw-Hill; 2016.
Kwiatkowski T, Friedman BW. Headache Disorders. Rosen’s Emergency Medicine: Concepts and Clinical Practice, 9e. Elsevier: 2018.
Comments
.

Comments
Smith-Jillian_191
Mon, 01/14/2019 - 1:46pm
Permalink
.
.